1

Hematomas subdural y epidural

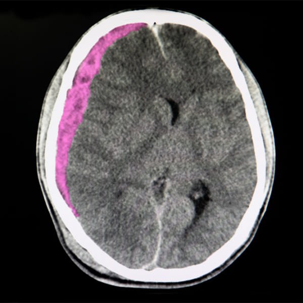
Un hematoma subdural o epidural espinal es una acumulación de sangre en el espacio subdural o epidural que puede comprimir mecánicamente la médula espinal.

El diagnóstico se realiza con una RM o, cuando no se encuentra fácilmente disponible, con una mielografía por TC. El tratamiento se efectúa con drenaje quirúrgico inmediato.

Tratamiento

Drenaje
El tratamiento de un hematoma subdural o epidural espinal es el drenaje quirúrgico inmediato.

Los pacientes que consumen anticoagulantes cumarínicos reciben de inmediato 2,5 a 10 mg de fitonadiona (vitamina K1) por vía subcutánea y plasma fresco y congelado según la necesidad para normalizar el IIN (índice internacional normalizado). Los pacientes con trombocitopenia reciben plaquetas.

Hematomas subdural y epidural

Me encuentro aquí para apoyarte y que juntos encontremos la mejor forma de tratar y solucionar tu padecimiento